歯周病治療
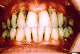
歯周病とは古くは歯槽膿漏といい、日本人の成人の約8割がかかっているといわれます。 歯肉に炎症が起こり、放っておくと膿が出てきたり、口臭がひどくなり、最後には歯が抜け落ちてしまう病気です。虫歯により抜歯となるケースより歯周病により抜歯となる事のほうが断然多いのです。歯周病の進行は、むし歯と違い、重症になるまで痛み無く進むことが多く、そのため「静かなる病気」とも呼ばれています。また、普段の生活習慣が影響することもあり「生活習慣病」の一つに分類されています。最近では、全身の病気(糖尿病、心臓病、早産、低体重児、肺炎)との関連の可能性も言われており無視できない怖い病気との認識が必要なようです。
日頃からのブラッシング、生活習慣の改善がもっとも大事であり定期的に(半年に1回は)歯科医院を受診し歯石除去をし個人にあったブラッシング指導、プラーク付着部位の指摘を受ける事が歯周病の予防につながるのです。
《 歯周病のチェックポイント 》● 歯肉が赤く腫れてきた
● 歯肉から出血することがある
● 口臭がある
● 歯と歯の間に隙間ができてきた
● 歯肉がさがって歯が長く見える
● 歯がグラグラしてきた
● 歯肉になんとなく違和感がある
みなさんはどうでしたか?チェックポイントに1つでも当てはまる方は歯周病である可能性が高いです。





