設備・院内紹介
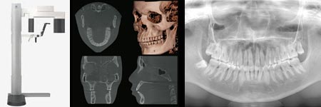
設備紹介当院では安全な治療、正確な診断を実現するために、最先端の歯科用CTベラビューを導入しております。高品質3D(立体的)画像が得られ、従来では確認できなかった部位まで把握して診断ができ、また患者さんご自身も今の状態をよりわかりやすくイメージすることができると思います。
診療室背の高いパーテンションで仕切られ、ゆとりのある個室になっています。室内には音楽が流れ、ゆったりとくつろぎながら治療をお受けいただけます。
受付基本的にご予約の方を優先してご案内しておりますので、当日の受診を希望される場合でも、まずはお電話ください。また予約されている患者さんでキャンセルされる方、少し遅れて来院される方はなるべく早めにご連絡ください。
待合室皆様に常にリラックスしてお待ち頂ける空間にすることを心がけております。お待ちの間にご要望など御座いましたら、お気軽にお申し付けください。
診療室へのアプローチ
スタッフ全員がつねに徹底した清掃と、院内の整理整頓を心がけております。





